통증단계
아프지않음
충치단계
치아의 중앙이나 옆면에 음식물찌꺼기가 끼어 작게 부패된 단계
치료방법
정기검진으로 확인가능
충치치료비용이 저렴
“충치, 초기에 발견하는 것이 가장 중요합니다”
충치는 초기에 통증이 느껴지지 않아 치료시기를 놓치는 경우가 많습니다.
정기검진을 통해 치아상태와 구강관리가 중요합니다.
아프지않음
치아의 중앙이나 옆면에 음식물찌꺼기가 끼어 작게 부패된 단계
정기검진으로 확인가능
충치치료비용이 저렴

차가운 것에 아픔
치아의 바깥쪽에서부터 치아의 안쪽까지 충치가 침투되면서 진행중인 단계
충치부위 제거 후, 남아있는 자연치아보호
보철물 치료(인레이)

차고 뜨거운 것에 통증이 나타남.
가만히 있어도 통증을 느끼는 경우도 더러 발생
2단계에서 방치된 충치가 신경까지 침투하여 생기는 신경조직 염증 발생단계
신경치료 진행 + 충치부위 제거 + 남아있는자연치아보호
보철물치료(크라운)

매우 심각한 통증이 있거나 전혀 아프지 않음. 씹을 때 (저작시) 통증이 심하게 느껴짐
2, 3 단계에서 방치된 충치가 신경 말단까지 침투하여 신경치료를 해도 예후가 좋지 않음
신경치료 + 충치부위제거 + 남아있는 자연치아보호 보철물치료(크라운치료) + 뿌리 끝의 고름치료 or 발치 + 임플란트
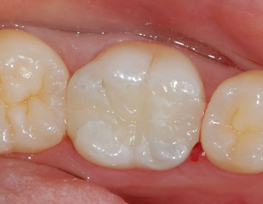
치아에 크지 않은 초기 충치를 치료하기 위한 치료방법으로 치아를 보다 흔적 없이, 깨끗하게 치료할 수 있는 방법입니다.
심미적으로 자연 치아와 흡사한 색을 띄고 있으며 따로 본뜨는 과정이 없어 짧은 시간에 치료를 마칠 수 있는 것이 장점입니다.
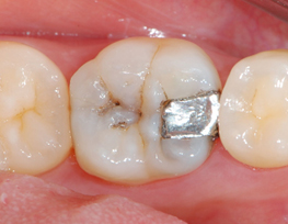
초기 충치보다 좀더 넓고 깊은 경우에 치료하는 방법으로 충치 부위를 삭제하고 본을 뜬 후 수복물을 제작하여 치과용 접착제를 사용해 붙이는 치과 치료입니다.
구강 내가 아닌, 외부에서 본을 떠 제작하기 때문에 교합되는 치아와의 정밀한 작업이 가능하며 개인의 치아에 꼭 맞게 제작이 이루어집니다.
인레이 치료는 자연치아와 가장 유사한 강도로 제작되기 때문에 기능적인 부분과 심미적인 부분에서 우수한 치료방법 입니다.
| 금 인레이 | e.max® 세라믹 인레이 | |
|---|---|---|
|
|
이미지 |
|
| 치아색과 달라 눈에 띌 수 있음 | 심미성 | 치아와 비슷한 색으로 자연스러움 |
| 강도 우수하고 치아 마모에도 저항성 높음 | 강도 | 금속과 유사하나 이갈이, 저작력 센 경우는 주의해야함 |
한 치아에 여러 부위가 충치가 생겼을 때 받는 치료방법입니다.
충치의 크기가 크거나, 신경치료를 진행한 치아일 때 치아 전체를 보호하는 치료법 입니다.
크라운 내부(코어)가 금(골드) 소재로 되어있어 강도가 높고 치아에 대한 적합도가 좋으며 생체친화성도 높습니다.
세라믹 종류 중 가장 강도가 높은 재료로 인체에 거부 반응이 없으며 치아 색상과 유사하여 강도와 심미성을 모두 갖춘 재료입니다.
크라운 내부(코어)가 메탈 합금 소재로 되어있어 금속 알러지가 있는 분들은 사용이 불가능하며 추후 도자기 부분이 파절되는 경우가 있습니다.
미아사거리역 래미안 길음센터피스 상가 2층
