깊은 지식과 기술력, 노하우를 통해
환하게 웃을 수 있는 기쁨과 씹는행복을 찾아드립니다.
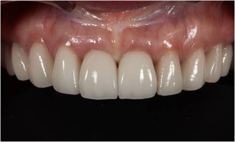
앞니에 결손이 있거나 치아를 뽑아낸 자리에 임플란트를 식립하여 자연치아의 기능을 회복시켜 주는 시술입니다.
앞니의 결손은 눈에 쉽게 잘 보이는 부분이라 환자의 미적인 결함이 두드러지게 되어 환자의 자신감을 크게 상실시키기 때문에
신속하면서도 심미적인 치료가 요구됩니다.
서울에스치과에서는 치아형태, 치아색조, 잇몸형태 3가지의 심미적인 조건을
만족할 수 있도록 임플란트 시술을 진행하여 만족도 높은 치료가 될 수 있도록 합니다.
앞니는 잇몸뼈가 얇아서 치아를 제거하고 나면 잇몸뼈가 빨리 줄어들기 때문에
시기를 놓쳐 얇은 잇몸 뼈에 임플란트를 심고 나면 환자 본래 치아와 어울리지 않는 상황이 올 수 있습니다.
따라서 앞니가 소실되어 임플란트 치료를 해야 하는 경우에는 최대한 빠르게 정밀 진단과 치료를 진행하시는 것이 중요합니다.
치주질환이 심해졌거나 나이가 들면서 잇몸상태가 안 좋아져 치아를 받치고 있는 치조골이 많이 소실되면 치아가 흔들립니다.
이때 치아가 얼마 남아있지 않아 틀니와 임플란트를 고려하게 되는데 틀니는 잇몸 위에 얹는 방식이라 씹을 때 잇몸에 압박이 가해지고
제대로 힘들 받기 어려운 점이 있다면 임플란트는 식립을 하여 사용하기 때문에 자연치아만큼 편안한 사용이 가능합니다.
전체 임플란트의 대상자는 주로 고령자입니다.
때문에 전신상태인 건강, 당뇨 등 수술에 영향을 주는 질환 유무를 파악하고
전문의와 상담을 통해 진행 유무를 확인하시는 것이 중요합니다.
미아사거리역 래미안 길음센터피스 상가 2층
