자신에게 맞지 않은 임플란트로 치료를 하게 되면 추후 임플란트 주위 잇몸 부분에 음식물이 끼면서
염증을 일으키고 씹는 힘에 의해 최종 보철물이나 보철물을 지지하고 연결해주는
기둥(어버트먼트)가 깨지는 일이 발생할 수 있습니다.
서울에스치과에서는 개개인의 잇몸 형태를 정확히 채득하여 맞춤형 임플란트로 치료를 진행합니다.
임플란트도 일률적인 방법으로 치료를 진행하는 것이 아닌 환자 특성 맞춤형으로
제작이 되고 치료가 되어야 더욱 오래 편하고 튼튼하게 사용할 수 있습니다.
정밀한 3D 이미지를 구축하여 최종 보철물의 형태를 확인하면서 임플란트를 가장 이상적인 위치에
식립할 수 있도록 하는 최첨단 프로그램으로 이 파일을 이용하여 수술 가이드를 제작하여
원하는 위치에 임플란트가 식립되도록 도와줍니다.

첫째, 당뇨, 골다공증, 고혈압 증의 전신 질환 있으신 분
둘째, 바쁜 일상생활로 빠른 시술을 원하시는 분
셋째, 치과 공포증이 있으신 분
넷째, 다수치아를 상실했거나 연세가 많으신 어르신
3D-CT를 이용하여 구강 진단 후 치료 계획 수립
시술 전 임플란트 식립 각도, 골 형태, 골 밀도 파악
환자 개개인의 3D 데이터를 토대로 정확한 맞춤형 가이드 제작
제작된 가이드에 맞추어 임플란트 식립
철저한 사후 관리
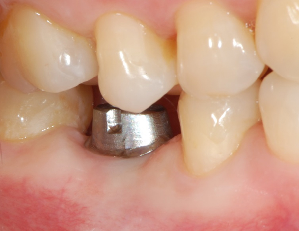
어버트먼트란 임플란트 보철물/크라운을 지지하고 연결하여 주는 기둥입니다.
기존의 기성 어버트먼트는 말그대로 기성품이다 보니 다양한 사이즈의 정형화된 모양의 기둥이 대부분입니다.
하지만 사람마다 잇몸이 다르고 뼈 형태가 다르기 때문에 임플란트 크라운이 잇몸과 밀착되지 못하고 뜨는 경우가 발생하게 됩니다.
이런 경우를 줄이기 위해 서울에스치과에서는 맞춤형으로 커스텀 어버트먼트를 제작하여 임플란트 보철물을 완성합니다.
서울에스치과는 디지털 CAD-CAM 소프트웨어를 이용하여 개개인에 맞는
환자 맞춤형 커스텀 어버트먼트를 제작하여 개인별 맞춤 임플란트를 시술합니다.
지르코니아 크라운은 자연치아와 비슷한 색을 재현할 수 있어 심미적으로 우수하다는 장점을 가지고 있으며,
금속과 유사한 강도를 가지고 있어 튼튼함과 심미성을 모두 갖춘 치과 재료입니다.
높은 강도와 부식저항성을 가지고 있습니다.
시술 후 이물감이 거의 느껴지지 않아 착용감이 좋고 열전도율이 낮아
차갑거나 뜨거운 음식을 섭취해도 불편함이 없습니다.
미아사거리역 래미안 길음센터피스 상가 2층
