안정성과 우수함을 인정받은 제품만을 선정하여
원칙을 기반으로 꼼꼼한 진료와 치료를 진행합니다.
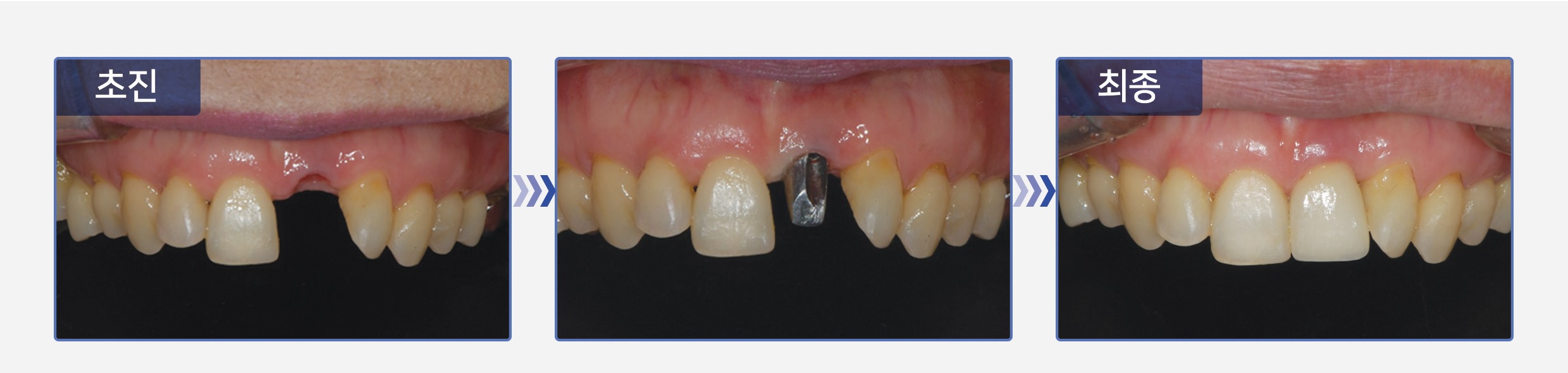
일반적으로 발치에서 임플란트 식립까지 2~3개월 이라는 긴 기간이 필요하지만
서울S에스치과는 많은 경험과 높은 기술력으로 하루 안에 발치와 임플란트 식립을 끝냅니다.
하지만, 모든 경우에 가능하지 않을 수 있어 정밀한 진단이 꼭 필요합니다.
임플란트, 긴 시간을 투자하고 내어달라 하지 않습니다.
“서울S에스치과는 단 하루면 됩니다.”
(만약 잇몸질환이 심하다면 일정 기간의 잇몸뼈 치유기간을 가진 후 임플란트를 진행합니다.)
주변 잇몸 조직의 손상 감소!
치료 단계가 단축되어 전체 치료기간 또한 단축!
회복, 치료기간의 단축으로 빠른 일상 생활 복귀
* 뼈 상태, 전신 건강 상태에 따라 발치 후 즉시 식립이 어려운 케이스도 있어 의료진의 정밀한 진단이 필요합니다.
* 임플란트의 성공률은 통상적으로 매우 높습니다.
(논문에 알려진 평균 성공률: 90~95%, 서울에스치과의 실제 임플란트 성공률: 99.3%)
하지만 드물게 뼈와 임플란트가 결합이 약한 경우 추가적인 치료가 필요할 수 있습니다.
뼈이식 임플란트는 잇몸뼈의 길이나 두께가 부족하거나 잇몸뼈 흡수가 심한 경우 잇몸뼈의 재생을 도와주어 임플란트 식립이 가능하도록 하는 치료입니다.
임플란트 환자 중 치조골이 부족한 경우에 해당될 때 인공 뼈 이식을 통해 부족한 뼈를 보충하고 임플란트 식립을 진행합니다.
임플란트 치료가 필요하지만, 잇몸뼈의 조건이 좋지 않을 때 진행하게 됩니다.
뼈의 밀도가 치밀하고 단단할수록 임플란트의 성공률은 높아집니다.
상악동이란 얇은 위턱뼈 위에 코와 광대 사이의 빈 공간을 지칭하는 해부학적 부위로,
상악동이 많이 확장되어 있는 경우 그만큼 임플란트를 심을 수 있는 잇몸뼈가 부족해져서 임플란트 식립이 어려워 질 수 있습니다.
상악동 골증강술은 상악동 내부에 조심스럽게 접근해서 뼈이식을 하여 임플란트 식립에 필요한 잇몸뼈를 만들어내는 난이도 높은 술식입니다.
얇은 상악동 막을 들어올려 뼈를 이식하는 상악동 골증강술은 시술 부위의 특성상 섬세한 기술이 필요합니다.
때문에 부작용의 우려가 존재하기에 풍부한 경험과 노하우, 안전한 장비를 갖춘 치과에서 치료를 받는 것이 중요합니다.
미아사거리역 래미안 길음센터피스 상가 2층
